首页
搜索
分类
账户
访客
登录
购物车
收藏 (
0
)
品牌
0
购物车
0
收藏
订单
报价
首页
联系我们
0
0
登录
联系我们
商店
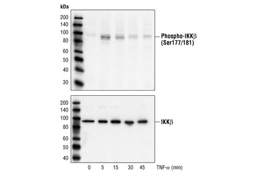
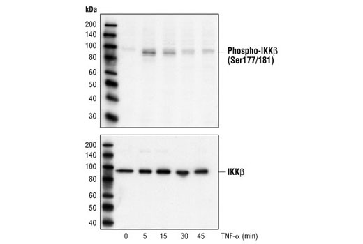
Phospho-IKKα/β (Ser176/180) Antibody II
Phospho-IKKα/β (Ser176/180) Antibody II
/shop/003-2694t-phospho-ikk-ser176-180-antibody-ii-20ul-24411
期货待确认
¥
2,160.00
2160.0
CNY
¥
2,160.00
¥
2,160.00
此组合不存在。
加购物车
添加收藏
目录号:
2694T
计量单位:
PC
商品规格:
20ul
CST
分享商品:
Phospho-IKKα/β (Ser176/180) Antibody II
¥
2,160.00
规格
无规格
这是用户近期浏览商品预览.
只要用户查看过一个商品这个片断就会显示.
×
近期浏览商品